บรรเทาอาการท้องเสีย อาหารเป็นพิษ ด้วยเมดิซินอล ชาร์โคล ท้องเสียหรืออุจจาระร่วง หมายถึง การถ่ายอุจจาระมากกว่าวันละ 3 ครั้ง หรือถ่ายเป็นมูกปนเลือดมากกว่า 1 ครั้ง โดยอาจมีสาเหตุม...
ไวรัสโคโรน่า เมอร์ส ไวรัสโคโรน่า เมอร์สเป็นชื่อของเชื้อไวรัสที่ก่อโรคในระบบการหายใจและจัดเป็นเชื้อในกลุ่ม coronavirus เชื้อ conronavirus มีห...
การตรวจคัดกรอง สามารถลดมะเร็งลำไส้ใหญ่ได้ 30% อัตราตายจากโรคมะเร็งลำไส้ใหญ่ลดลงปีละ 3% ในทศวรรษที่ผ่านมา และในปีล่าสุดลดลงถึง 7.2% เขาจึงหวังที่จะให้อุบัติการณ์นั้นลด...
ถ้าเป็นอีสุกอีใส เวลาอาบน้ำควรใช้สบู่ธรรมดาหรือสบู่ยา โรคอีสุกอีใส เกิดจากเชื้อไวรัส มีชื่อทางการแพทย์ว่า Varicella Zoster สามารถติดต่อกันได้ง่าย ผ่านลมหายใจและการสัมผัสใกล้ช...
ถ้าป่วยเป็นไข้ตัวร้อนธรรมดา สามารถไปซื้อยาแก้ไข้ตามร้านขายยาได้หรือเปล่า ถ้าป่วยเป็นไข้ตัวร้อนธรรมดา แล้วไปหาคุณหมอที่โรงพยาบาล หลังจากตรวจเสร็จ คุณหมอสั่งยากลับมาให้ทานที่บ้าน ทีนี้อยากทราบว่า...
Selfie Addiction เสพติดเซลฟี่ โรคเซลฟี เซลฟี่คืออะไร เซลฟี่ (Selfie : Self-Portrait) คือ การถ่ายรูปตัวเองในอิริยาบถต่างๆ แล้วนำไปเผยแพร่ในสังคมออนไลน์ อย่าง In...
โรคสุกใสและงูสวัด ใครต่อใครรู้จักโรคสุกใสและโรคงูสวัด หลายคนตอนเป็นเด็กคงจะเคยเป็นโรคสุกใส มีผื่นกระจายรอบตัว ส่วนในผู้ใหญ่บางท่านก็พบโรคง...
ข้อเข่าเสื่อม คือ โรคข้อเสื่อมที่เกิดขึ้นกับข้อเข่า โดยมีความผิดปกติต่างๆ ได้แก่ กระดูกอ่อนที่เป็นผิวของข้อเข่าสึกหรอ เยื่อหุ้มข้ออัก...
แทนไตด้วยไตเทียม ตอนที่แล้ว ผู้อ่านคงทราบแล้วว่าเมื่อป่วยเป็นโรคไตวายเรื้อรัง ไตจะเสื่อมลงเรื่อยๆ จนเป็นไตวายเรื้อรังระยะสุดท้าย ผู้ป่วยต...
มาลาเรีย ในแต่ละปี ทั่วโลกมีผู้ป่วยด้วยเชื้อมาลาเรียประมาณ 500 ล้านคน เสียชีวิตประมาณ ปีละเกือบ 1 ล้านคน ส่วนใหญ่เป็นเด็กในแอฟริก...
วัคซีนไข้หวัดใหญ่กับโรคหัวใจ สาเหตุที่การติดเชื้อไข้หวัดใหญ่เกี่ยวกับความเสี่ยงต่อการตายด้วยโรคหลอดเลือดหัวใจนั้น อาจจะมาจากการทำงานที่ผิดปกติของระบบ...
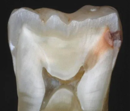
ฟันผุต้นเหตุโรคฝีในสมอง ฟันผุไม่ได้ทำร้ายแค่ฟันเพียงอย่างเดียวแต่ยังทำร้ายไปถึงสมองด้วยซึ่งถือว่าเป็นอันตรายอย่างมาก การที่เราปล่อยให้ฟันผุเป็นเ...